新大阪駅 徒歩6分、大阪市淀川区の歯科医院。むし歯や歯周病だけでなく、インプラントや矯正治療、ホワイトニング・スーパーエナメルなども行っています。

〒532-0011大阪市淀川区西中島6-3-32第2新大阪ビル2F

診療時間(休診:木・日・祝)
9:30~13:00/14:30~18:00
※土曜 9:00~13:00/14:30~17:30
(土曜は矯正・インプラント等自費診療優先)
お約束・お問合せはこちらへ
06-6307-1600
Super Enamel

スーパーエナメル

スーパーエナメルとは・・・

スーパーエナメルは、従来行われているラミネートベニア法を発展、改良した削らない審美歯科治療法です。
従来のラミネートベニアは厚さが0.5~0.7mmなのに対して、スーパーエナメルで使用するのは0.1mm~(お悩みの状態により厚みを調整します)と、かなり薄くなったことで、歯を削らず、表面につけ爪のような感覚で貼り付けることが可能になりました。
※術前治療(虫歯、歯周病等)が必要な場合がございます
※素材が極薄のセラミックの為装着の際に、多少の歯面調整を必要とする場合がございます
  
お口の状態確認をさせて頂きます。まずは無料相談に一度ご来院ください。
 

詳しくはこちらをご覧ください

トップページからのつづき・・・

今年も一番多くお問合せを頂いたかもしれないのが、
「失活歯(神経がない、死んでしまったと表現される方が多いです)の変色」のお悩み。

いろいろと調べてスーパーエナメルにたどりつかれるようです。
"削らずに貼るだけ"という治療方法は、
とても魅力に感じるものではないかと思います。

スーパーエナメルって、一度に全体を揃えて
美しく仕上げることに大変優れた治療方法なのです。
例えば、上の前歯の犬歯から犬歯(左右3本ずつ)の合わせて6本や、
さらにその後ろの歯を含めた8本を、
スーパーエナメル(セラミック)を装着して、
希望の白さや統一感が出すという感じです。

もちろん条件がありまして、
土台となるご自身の歯の色が揃っていなければ、
スーパーエナメルを貼っても微妙な差が出ますし、
被せ物や、大きな詰め物をしている場合も、
色を揃えるのは難しくなります。

最初に戻ります。
「失活歯の変色」の多くは1本もしくは2本ではないでしょうか?
単独で変色するので目立ってしまうことが多いのでは?と思います。

そして、スーパーエナメルは1本だけ貼ることは可能ですが、
このような場合は、ほかの歯と色を揃えて美しく仕上げるというのは、
非常に難しくなってきます。

そのため、「失活歯の変色」でお悩みの場合、
やま歯科では、まずウォーキングブリーチをご提案しています。
(処置ができるかどうかは検査が必要です)

みなさんがよくご存知の歯のホワイトニング。
あれは、ご自身の歯(生きてる歯)を薬剤によって白く(漂白)する方法です。
ウォーキングブリーチはご自身の歯なのだけれど、生きていない歯=神経がない歯を、
歯に裏から穴をあけて薬剤によって白く(漂白)する方法なのです。

説明よりも写真の方がわかりやすいかもしれません。

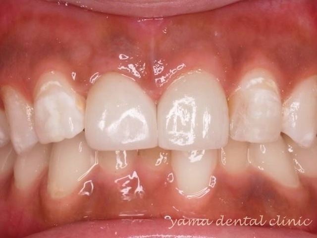
スーパーエナメル症例のご紹介

before

after

術前に、むし歯・歯石除去などの治療を行っています。

before

after

術前に、むし歯・歯石除去・着色除去・ホワイトニングなどの治療を行っています。
隣の歯の被せものを、スーパーエナメルに合わせてセラミックで被せなおすことで、より自然に仕上がりました。

before

after

以前、樹脂素材のベニアを装着。
セラミックにしたいというご希望をスーパーエナメルで実現。

よくあるご質問

ここではよく頂くご質問をご紹介します。

費用はどれくらいかかりますか?

使用するセラミックにより異なります

スタンダード:66,000円/本(4本以上の場合55,000円/本)

ジルコニア :99,000円/本(4本以上の場合88,000円/本)  です。

何回くらいかかりますか?

最短で2回です(初回無料相談は含みません)

歯周病やむし歯の問題がなく、すぐに型採りができる状態であれば通常2回のご来院で装着できます。

但し、型採りの前に治療が必要な場合や、装着後噛み合わせの確認、色合わせなど、2回以上のご来院をいただく場合がございます。

相談したい時はどうしたらいいの?

どうぞ無料相談に一度お越しください

スーパーエナメルはとても優れた治療法ですが、すべての方に適応するわけではございません。よろしければ一度無料相談(約30分程度)にお越し頂ければ、お口の状態がわかりますので、少し具体的にご説明をさせて頂くことが可能です。また、その他のご不明点なども、お答えできるかと思います。

施術を受けるかどうかは、その後ゆっくりとご検討頂ければ大丈夫です。

スーパーエナメルは永久的?

いいえ 永久的ではありません

ご自身の天然の歯も同様ですが、強い力が加わることなどで、割れたり、外れたりする可能性があります。
 

上下の歯にスーパーエナメルを貼れますか?

通常の噛み合わせの場合、上のみが適応です

歯を削らずに貼り付ける治療法ですので、通常の噛み合わせの場合は、上の歯のみ装着可能とお考えください。

お約束・お問合せはこちら

お電話でのお約束・お問合せはこちら

06-6307-1600

診療時間:9:30~13:00/14:30~18:00
※土曜は9:00~13:00/14:30~17:00
 (矯正・インプラント診療日)

休診日:日曜・木曜・祝祭日

診療時間

診療日
 
午前 × ×
午後 × ×
診療時間

平日:
午前 9:30~13:00
午後 14:30~18:00

土曜:
午前 9:30~13:00
午後 14:30~17:00

休診日

木曜・日曜・祝祭日

お約束・お問合せ

お気軽にご連絡ください。

06-6307-1600

アクセス

06-6307-1600
住所

〒532-0011
大阪市淀川区西中島6-3-32
第2新大阪ビル2F

地下鉄御堂筋線
新大阪駅より徒歩6分